Наверх

Оставляет ли ковид "отпечаток" на легких, узнали у пульмонолога

23.11.2025 1152 Наш край

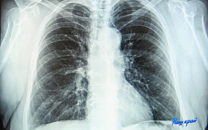
После пандемии ковида многие люди стали посещать пульмонологов - кто-то из-за проблем, а кто-то для профилактики. Оставляет ли ковид пожизненный отпечаток на легочной ткани, в проекте БЕЛТА "В теме. Здоровье" узнали у врача-пульмонолога Сергея Федорова.

- Если это была большая тяжелая пневмония, то чаще всего (по крайней мере, из тех пациентов, которых я видел за несколько лет) оставались какие-то изменения после перенесенного воспалительного процесса. Хотя не у всех.

- А они могут как-то повлиять на качество жизни?

- В зависимости от объема. Если их много - да, развивается дыхательная недостаточность, которая может проявляться при физической нагрузке. Наверное, можно отметить то, что как только ковид закончился, стало больше пациентов с бронхиальной астмой. Я не готов сказать, с чем это связано, но их стало больше. Возможно, произошли какие-то изменения у тех людей, которые переболели.




  • Мы в социальных сетях: